Utama

Sukan

Politik

Berita

Berita

Politik

Politik

Sukan

Politik

Berita

Berita

Politik

Politik

Doktor Salah Cabut Gigi, Wanita Tahan Sakit Terjatuh Dari Tingkat 11
Seorang wanita di China yang mengalami kesakitan akibat gigi dicabut dilapor meninggal dunia selepas terjatuh dari bumbung hospital, lapor South China Morning Post.
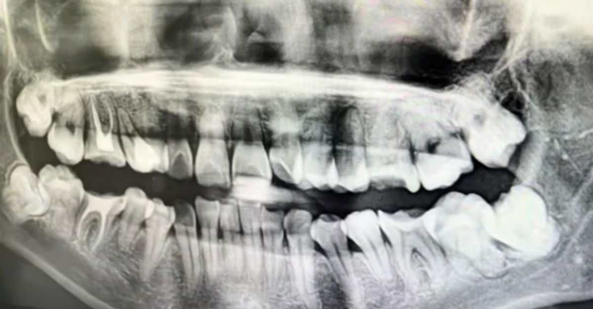
Menurut South China Morning Post, mangsa yang berasal dari wilayah Anhui telah menjalani prosedur di Hospital Perbandaran Anqing untuk mencabut gigi geraham bongsu pada 12 Mac lalu.
Bagaimanapun, doktor yang bertugas melakukan kesilapan dengan mencabut gigi yang sihat sebelum memasukkannya semula secara paksa, malah mengikatnya dengan dawai bersama beberapa gigi lain tanpa anestesia atau ubat tahan sakit.
Difahamkan, ahli keluarga mangsa telah melaporkan kejadian terbabit kepada pihak berkuasa, tetapi tiada sebarang tindakan diambil.
Wanita itu terpaksa menanggung kesakitan selepas mengalami kerosakan gigi, muka menjadi bengkak, tidak boleh makan dan hanya mampu minum air selama beberapa hari,
Dalam masa sama, gangguan tidur akibat kesakitan itu turut menjejaskan keadaannya.
Mangsa juga memuat naik video di media sosial sambil menangis, mendakwa rekod perubatannya telah diubah untuk menutup kesilapan doktor.
Ditemui terjatuh dari tingkat 11 bangunan hospital
“Tiada siapa yang menangani kejadian ini. Pihak hospital telah menipu saya dari awal hingga akhir, menyebabkan saya terpaksa menanggung derita.
“Siapa yang akan menyelamatkan saya? Disebabkan kesilapan yang dilakukan oleh mereka, saya boleh mati di sini,” katanya di dalam video.
South China Morning Post melaporkan mangsa memberitahu bahawa pihak hospital berulang kali meminta untuk memadam video yang dimuat naik.
Pada 17 Mac, wanita terbabit kembali ke hospital untuk berbincang mengenai kejadian tersebut, namun ditemui terjatuh dari tingkat 11 bangunan hospital dan disahkan meninggal dunia.
Suami mangsa memaklumkan polis tidak menemui sebarang unsur jenayah dalam kejadian itu, manakala keluarganya menolak tawaran pampasan sebanyak 100,000 yuan (kira-kira RM61,131) daripada pihak hospital.
Pihak hospital mengesahkan doktor yang terlibat telah digantung tugas, manakala siasatan sedang dijalankan oleh pihak kesihatan dan polis.
BACA: Aidilfitri: JPJ N.Sembilan Tingkat Penguatkuasaan Di Tujuh Kawasan ‘Hotspot’ Kemalangan
Sumber: South China Morning Post