Utama

Trivia

Sukan

Berita

Berita

Berita

Berita

Trivia

Sukan

Berita

Berita

Berita

Berita

Doktor Kongsi Pengalaman Pilu Rawat Pesakit Kanser
Umum mengetahui, setiap orang terdedah kepada pelbagai penyakit yang boleh berpunca daripada pelbagai faktor seperti gaya hidup, pemakanan, genetik dan banyak lagi.
Disebabkan itu, setiap individu disaran untuk melakukan pemeriksaan secara berkala agar dapat mengenal pasti masalah kesihatan khususnya kanser, yang boleh membawa kepada maut.
Hari ini, SK akan kongsikan pengalaman seorang pakar paru-paru, Doktor Nurul Yaqeen dalam merawat pesakit kanser paru-paru di bawah.
Doktor kongsi pengalaman rawat pesakit kanser paru-paru
“Doktor, Saya Akan Meninggal Dunia Ke?”
“Doktor, tolong beritahu saya dengan jujur… saya akan meninggal dunia ke?”
Aku terdiam seketika. Seluruh bilik hospital menjadi sunyi. Hanya bunyi halus alat oksigen yang memenuhi ruang.
Aku memandang Encik Rosli, seorang lelaki berusia 55 tahun yang telah disahkan menghidap kanser paru-paru tahap 4. Matanya, yang dahulunya penuh kehidupan, kini kelihatan sayu, seolah-olah sudah menerima hakikat.
Di sisinya, si isteri menggenggam erat tangannya. Air mata bergenang di kelopak mata, tetapi dia menahan diri daripada menangis. Anak perempuan mereka, yang kelihatan dalam lingkungan 20-an, berdiri di hujung katil dengan wajah sugul, bibir diketap menahan sebak.
Ini adalah saat yang paling sukar bagi seorang doktor.
“Doktor, saya kerap batuk. Dah berbulan-bulan. Tapi saya tak merokok, jadi saya rasa tak mungkin ia sesuatu yang serius, kan?”
Itulah yang dikatakan oleh Encik Rosli semasa pertama kali datang ke klinikku.
Si isteri mengangguk. “Betul, doktor. Dia batuk siang malam, terutama waktu malam. Tapi kami ingat mungkin alahan biasa.”
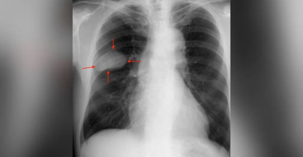
Aku mendengar bunyi pernafasannya dengan teliti. Ada sedikit bunyi ‘wheezing’. Aku mengambil keputusan untuk membuat X-ray sebagai langkah berjaga-jaga.
Keesokan harinya, keputusan X-ray keluar. Ada bayang-bayang pada paru-paru kanannya.
Aku segera mengatur CT scan dan biopsi. Dan akhirnya, kepastian itu tiba—sesuatu yang tidak mahu didengar oleh sesiapa pun.
“Doktor, Kalaulah Saya Periksa Lebih Awal…”
Saat aku menyampaikan berita itu, isterinya menutup mulut, cuba menahan tangisan. Anak perempuannya terduduk di kerusi, air mata mengalir tanpa henti.
Encik Rosli hanya duduk diam. Mencerna berita itu.
“Tapi… saya tak merokok,” bisiknya perlahan.
Aku mengangguk. “Ya, tetapi kanser paru-paru juga boleh berlaku kepada mereka yang tidak merokok. Ia mungkin berpunca daripada pencemaran udara, asap rokok sekunder, atau faktor genetik.”
Tangannya dikepal erat. “Kalaulah saya periksa lebih awal…”
Penyesalannya amat memilukan kerana jika dikesan pada tahap 1 atau 2, kanser paru-paru masih boleh dirawat dengan baik. Tapi pada tahap 4… peluangnya sangat terhad.
Kini, selepas tiga bulan, dia menatapku dengan mata yang semakin lemah.
“Doktor, saya akan meninggal dunia ke?”
Aku menarik nafas panjang. Sebagai doktor, aku selalu percaya pada harapan. Tapi dalam masa yang sama, aku perlu bersikap jujur.
“Encik Rosli, kami sedang lakukan yang terbaik. Masih ada rawatan yang boleh membantu, tetapi saya tak akan berbohong, kanser tahap 4 memang sukar untuk disembuhkan,”
Dia mengangguk perlahan, seolah-olah sudah bersedia menerima kenyataan.
Si isteri akhirnya tidak mampu menahan diri lagi. Dia menangis teresak-esak di dada suaminya. Anak perempuannya mengesat air mata tetapi cuba untuk tetap kuat demi ayahnya.
“Doktor… berapa lama lagi saya ada?” soalnya perlahan.
Aku tidak boleh menjawab soalan itu. Tiada siapa yang boleh.
“Apa yang lebih penting sekarang ialah menghabiskan masa bersama keluarga dan mencipta kenangan yang bermakna,” kataku lembut.
Dia tersenyum tipis. “Kalau begitu, saya tak akan sia-siakan masa yang ada.”
Kanser paru-paru bukan hanya berlaku kepada perokok. Pencemaran udara, asap rokok sekunder, dan faktor genetik juga boleh menjadi punca.
Pengesanan awal boleh menyelamatkan nyawa. Jika anda mengalami batuk berterusan, sesak nafas, atau sakit dada, segera dapatkan pemeriksaan!
Kanser paru-paru tahap 1 dan 2 masih boleh dirawat dengan baik. Tetapi jika lambat dikesan, peluang untuk sembuh semakin tipis.
Sebelum aku melangkah keluar dari biliknya hari itu, Encik Rosli menatapku dan berkata, “Doktor, tolong kongsikan kisah saya. Jika ia boleh menyelamatkan walaupun satu nyawa, ia sudah berbaloi.”
Maka, inilah kisahnya. Jangan tunggu sehingga terlambat.
Sumber: Facebook Dr Nurul Yaqeen